Exactly How Durable Are Porcelain Veneers?
Eventually, a various reconstruction or veneer substitute will be necessary. Considering that this is a life time commitment, individuals need to be sure about this aesthetic enhancement. Elite porcelain veneers are made from slim split sheaths of porcelain. These oral veneers can entirely cover the front of your teeth to create a stunning perfect smile. As well as since the majority of contemporary veneers look entirely natural, so will certainly you. Dental veneers, additionally called laminates, are long-lasting, stain resistant as well as all-natural looking. This might come as a discourteous awakening, but even if you have actually obtained veneers doesn't mean appropriate dental health is no longer called for.
Drinking Alcohol Raises Condition.
How long do veneers take from start to finish?
On average, the porcelain veneers process from consultation to final placement takes around 3 weeks. After your initial consultation, your temporary veneers will be made in our cosmetic lab. Then, after your teeth are prepared and your temporaries are placed, your custom veneers will be fabricated.
At this time, every person had the ability to accomplish the remarkable smiles that were once only offered to the Hollywood elite. In the past few decades, porcelain veneers have actually come to be immensely http://trevorydaw769.yousher.com/will-my-porcelain-veneers-ever-transform-color preferred, but they came from almost a century ago in the film industry's early stage. Famous Hollywood dentist, Dr. Charles Pincus, created oral veneers as a choice for starlets and also stars to improve for their smile on the screen.
A lot of dental experts go their entire professions without having a tooth, which had a porcelain veneer positioned, need a root canal treatment. Ultimately, teeth can still degeneration while they are under a veneer, which can lead to root canals and also crowns in the future. Veneers need to not be utilized if you have a history of damaged enamel, periodontal condition, or various other dental problems.
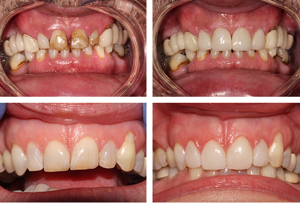
Can veneers fix crooked teeth?
Do You Have Minor Misalignment? If you have some teeth that are just slightly crooked, porcelain veneers are probably a great solution! In this situation, your oral health isn't being affected, and porcelain veneers can be bonded to the front surfaces of your smile for a beautifully aligned appearance.
I have actually taken selfies to make sure I'm taking a look at it straight and they still look off-center to me. I don't recognize if this can be fixed or if I ought to just re-do the whole procedure. You are important to see what requires to be thought through prior to starting on your porcelain veneers. All tooth infections are considered oral emergencies as a result of the threat if they spread out. Infections spread out and also you do not desire it spreading to the bone. That being said, I'm concerned that you ended up needing one to begin with.


Can I Brush And Floss My Teeth After Veneers, And Do I Still Have To Come For Professional Hygiene Consultations?
You receive several advantages when you select porcelain veneers, which can be adjusted in shade and also clarity so that they look as just like natural teeth as possible. The customization of veneers also indicates they are complementary per and every wearer-- this is not a one-size-fits-all option. Yes, many kinds of veneers are permanent, consisting of composite and porcelain veneers. Before positioning, your dentist has to cut down a few of your all-natural tooth framework. They do not call for tooth decrease or recontouring because they are very slim. Lumineers are more vulnerable to cracks and chips, however.
In the 1960s, the glue dentistry age began due to Dr. Michael Buonocore.
He made use of a light acidic solution to lightly etch the teeth.
Currently, having the ability to permanently position porcelain veneers was not feasible.
I made the blunder of getting a smile remodeling done before doing some study. I really did not realize how much was associated with it as well as simply went to my family members dental professional. He seemed like he knew what he was discussing, so I proceeded with it. Both issues I noticed today was they looked large and also off-centered. The dental professional claimed that it was the angle I was looking at them which made them look off-centered. He likewise claimed they possibly look large due to the fact that I'm used to how slim my teeth were. He's the dental expert so I decided to choose his assessment.
Can you drink alcohol with veneers?
Avoid drinking alcohol in excess while wearing veneers. While the occasional glass of wine or beer is fine, drinking too much alcohol can weaken the bonding agent that holds the veneers in place over your teeth. If a veneer comes off, it can be quite expensive to replace it.
Can Crowns And Veneers Look All-natural?
The no-prep type of porcelain veneers often tends to have less influence on the tooth structure, and they are normally easier. Nonetheless, these are not excellent for some people, especially those with proportionally large teeth. They are likewise more transparent contrasted to standard veneers. In the first go to, your dentist must identify whether you are an ideal prospect for porcelain veneers by doing a preliminary examination.
Last updated